Radiografias




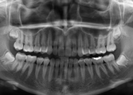
Radiografia Panorâmica
É uma radiografia de fácil obtenção, utilizada como exame inicial e complementar de diagnóstico por todas as especialidades da odontologia, pois permite a visualização dos dentes e das estruturas ósseas dos maxilares em uma única incidência.

Radiografia Panorâmica para Implante
Semelhante à radiografia panorâmica, difere apenas por ser obtida através de um programa especial que proporciona magnificação constante da imagem, permitindo assim medições.

Telerradiografia de Perfil
É um exame utilizado para análise das medidas laterais do crânio e da face, com o objetivo de identificar a harmonia entre as posições dos dentes, da maxila, mandíbula e do esqueleto facial. Para sua obtenção é necessário manter uma distância específica que propicie padronização nas imagens.

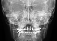
Telerradiografia Frontal
É um exame utilizado para análise das medidas frontais do crânio e da face, com o objetivo de identificar a simetria e harmonia na posição da maxila, mandíbula e do esqueleto facial. Para sua obtenção é necessário manter uma distância específica que propicie padronização nas imagens.

Radiografia das Articulações Temporomandibulares
Utilizada para avaliar os contornos ósseos das cavidades articulares e dos côndilos (cabeças da mandíbula), bem como seus posicionamentos. O exame pode ser obtido em oclusão dentária, repouso e máxima abertura bucal, conforme a necessidade do caso.

Radiografia de Mão e Punho
É utilizada para complementar a avaliação do crescimento e da maturação óssea.

Radiografia Periapical
A radiografia periapical é uma radiografia intra bucal utilizada para visualização dos dentes e das estruturas ósseas próximas, com maior nível de detalhes. Pode ser necessária imagem de uma ou mais regiões ou de toda a boca, neste caso denominado levantamento periapical.

Levantamento Periapical
É o exame que consiste de 14 radiografias periapicais, abrangendo todas as regiões da boca.

Radiografia Interproximal
A radiografia interproximal permite a visualização das coroas e cristas alveolares, dos dentes superiores e inferiores em uma tomada. É utilizada para pesquisa de cáries e doenças periodontais iniciais.

Radiografia Oclusal
Nesta radiografia o sensor é colocado na face oclusal dos dentes, propiciando um ângulo diferente na imagem e por ser maior, abrange uma área mais extensa.

Tomografia Computadorizada Cone Beam
A TCCB representa um grande avanço na área de imaginologia e difere da radiografia convencional, pois permite a visualização tridimensional das estruturas ampliando as possibilidades de diagnóstico. É indicada para todas as áreas da odontologia, como para planejamento de implantes, localização de dentes inclusos, analise de canais radiculares entre muitas outras. A dose de radiação é muito reduzida, dado que trabalha com miliamperagens baixas, principalmente quando comparada com a tomografia computadorizada medica. Na Doc Ideal trabalhamos com tomógrafos de FOV 8x8 cm que adquirem toda a arcada dentaria e voxel de 0,1 mm que permitem uma qualidade de imagem muito superior.

Outros Serviços

> Radiografias
> Tomografias
> Documentações
> Escaneamento intraoral





Horário de funcionamento: Segunda à sexta-feira,
das 8:00 hs às 11:30 hs e das 13:30 hs às 18:00 hs.
Endereço: Rua Marechal Deodoro, 500
Cj. 135, 13º andar - Centro, Curitiba - PR

Fale Conosco


41 3224-4460
 41 3233-5019
41 99139-1222